G6PD Deficiency
- mrsaepts
- Aug 12, 2024
- 4 min read
Updated: Aug 14, 2024
By: Pimlapas Smitthapipat, Pisira Leelasa-nguan, Phattarathida Thitathanakit
Edited by: Napat Naiyavitit, Phurinat Suandork
Glucose-6-phosphate dehydrogenase (G6PD) deficiency known as favism is a genetic disorder that happens from the lack of G6PD enzyme. The disorder results from the lack of G6PD enzyme, which protects the red blood cells from being destroyed by free radicals, causing red blood cells to become easily damaged or destroyed if stimulated by certain medications or foods. The G6PD deficiency often occurs in men than in women as it is an X-linked recessive hereditary disease.
Causes & Symptoms
Causes
The effect of abnormal sex genes causes a change in the production of G6PD enzymes which protect red blood cells from being destroyed by medicine or a certain chemical from foods.
Heredity
People can develop G6PD deficiency from birth since it’s a hereditary disease. Since G6PD deficiency is an X-linked recessive condition, males are more likely to develop this condition since they possess an XY chromosome: with one X chromosome present, the chances of receiving the mutated gene increase.
The females in the family being the gene carriers, normally wouldn't develop symptoms, because they possess an XX chromosome: when there are two X chromosomes, the chances of receiving the normal gene are higher than those of mutated genes. However, there are some rare occasions, in which females may develop symptoms; homozygous females (receive both mutated X-chromosomes) and occasionally, some heterozygous females (carriers) may develop a few symptoms.
What is G6PD enzyme? Physicians call glucose-6-phosphate dehydrogenase or G6PD enzyme, a housekeeping enzyme, mainly for its ability to prevent red blood cells from toxin and keep it healthy.
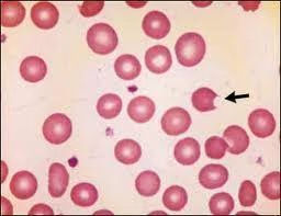
The lack of the particular enzyme causes the decrease of immunity in red blood cells and contributes to the damaged red blood cells that are typically found in patients diagnosed with G6PD deficiency.

“Bite cell” the arrow points to the damaged red blood cells,
which are commonly found in G6PD deficiency diagnosed patients.
Symptoms
G6PD deficiency may sound like a serious disease which causes the red blood cell to easily explode without any protection from G6PD. However, that is happening when you eat food or medicine which can destroy the red blood cell without the G6PD enzyme to protect it. If you avoid a risk trigger to the explosion, the effect will be yellow skin, dark urination and shortness of breath and many minor symptoms.
Risk factors
G6PD deficiency is a genetic condition passed through females (carriers) to male inheritors in the family line. As it is a genetic disorder, G6PD cannot be developed later in life. Generally, the two following factors increase the risk of developing this disorder:
Gender: Males are more likely to receive this genetic condition as G6PD deficiency is a X-linked recessive disease, so males are more likely to receive the mutated G6PD gene than women because of the XY chromosomes. Women are less likely to develop the disease because of their XX chromosome buildup; the G6PD gene is a recessive gene, so there are less chances for women to develop. Females, however, can be carriers of the disease and pass on the disease to their children.
Race: G6PD deficiency is more common in people with African races. In the U.S.; the ratio of the disorder found in African-Americans is 1:10. The disorder is also common amongst people who live in Africa, Asia, Mediterranean, and the Middle East as well.
Trigger Factors
The disorder is triggered mainly by consumption of fava beans. Interestingly, the inadequate consumption of fava beans is associated with the name of the disease, “favism”.
Food
Red vine
Legumes that have pods: eg. Fava beans, Soybeans
Camphor
Borneol
Chemical substances
Mothballs
Arsenic
Toluidine Blue
Medicine
Blood pressure-lowering medicine
Parkinson disease medicine
Cardiovascular disease medicine
Gout medicine
Hormone medicine
Vitamins
Antidote
Antibiotic
Treatment
G6PD deficiency affects between 400 and 500 million people across the world, being most common in sub-Saharan Africa, the Mediterranean, and Southeast Asia regions. In most cases, patients with G6PD do not need any treatment and can manage their conditions by avoiding triggers. It is important for a person with G6PD Deficiency to prevent and avoid the foods and medications that can lead to the breakdown of red blood cells. To further reduce the chances of damaging the red blood cells, patients are advised for vaccination of infectious diseases in order to prevent red blood cells from being damaged. However, in severe cases, a blood transfusion may be necessary.
Conclusion
Glucose-6-phosphate dehydrogenase (G6PD) deficiency is a hereditary disorder caused from the lack of G6PD enzyme in the body. This disease occurs when the gene mutates and fails to produce G6PD enzymes. Without the enzyme, it decreases the immunity of red blood cells from toxins in the blood. Symptoms include dark-coloured urine, yellow skin, eyes or tongue, very pale skin, very fast heart rate and breathlessness, low back pain, fever, diarrhea, nausea and/or abdominal pain. While there is no current treatment for G6PD, patients can simply manage their conditions by avoiding triggers, including foods and medications that can lead to the breakdown of red blood cells.
Citations
Liu, L., MD. (n.d.). G6PD Deficiency - Hematology - Medbullets Step 1. https://step1.medbullets.com/hematology/107038/g6pd-deficiency
g6pd Deficiency Foundation, Inc. (2024, March 20). Did I Inherit G6PD Deficiency? | g6pd Deficiency Foundation. G6pd Deficiency Foundation. https://g6pddf.org/did-i-inherit-g6pd-deficiency/
G6PD (Glucose-6-Phosphate dehydrogenase) deficiency. (2024, April 16). Johns Hopkins Medicine. https://www.hopkinsmedicine.org/health/conditions-and-diseases/g6pd-glucose6phosphate-dehydrogenase-deficiency
Bumrungrad International Hospital. (n.d.). https://www.bumrungrad.com/en/conditions/glucose-6-phosphate-dehydrogenase-g6pd-deficiency#:~:text=The%20most%20important%20treatment%20for,blood%20cells%20from%20those%20infections.
Healthdirect Australia. (n.d.). G6PD deficiency. Symptoms, Causes, Diagnosis and Treatment | Healthdirect. https://www.healthdirect.gov.au/G6PD-deficiency#:~:text=Most%20people%20do%20not%20need,sometimes%20involves%20a%20blood%20transfusion.
Professional, C. C. M. (n.d.). G6PD deficiency. Cleveland Clinic. https://my.clevelandclinic.org/health/diseases/22556-g6pd-glucose-6-phosphate-dehydrogenase-deficiency
Healthdirect Australia. (n.d.-b). G6PD deficiency. Symptoms, Causes, Diagnosis and Treatment | Healthdirect. https://www.healthdirect.gov.au/G6PD-deficiency

Comments