Maple Syrup Urine Disease
- mrsaepts
- Aug 14, 2024
- 4 min read
By Natpimon Kamonsitichai, Arachaporn Tempatarachoke
Edited by Phurinat Suandork and Napat Naiyavitit

Maple syrup urine disease, also known as MSUD, is a rare disorder generated from unusual metabolism. It is mostly found in young children. When the body is unable to break down some amino acids, it affects the brain and leads to a trait odor of maple syrup in urine which can threaten life as well. It is estimated that MSUD occurs in approximately 1 in every 185,000 live births globally. This condition is observed to be more prevalent among the Mennonite community than in the general population.
Maple syrup urine disease (MSUD) is caused by mutations in genes encoding components of the branched-chain alpha-keto acid dehydrogenase (BCKDH) complex, specifically BCKDHA, BCKDHB, or DBT. These genes play an important role in producing enzymes crucial for the breakdown of branched-chain amino acids (BCAAs) like leucine, isoleucine, and valine. When these enzymes are impaired or broken due to genetic mutations, BCAAs and their toxic side effects accumulate in the body, leading to the many characteristic symptoms of MSUD.

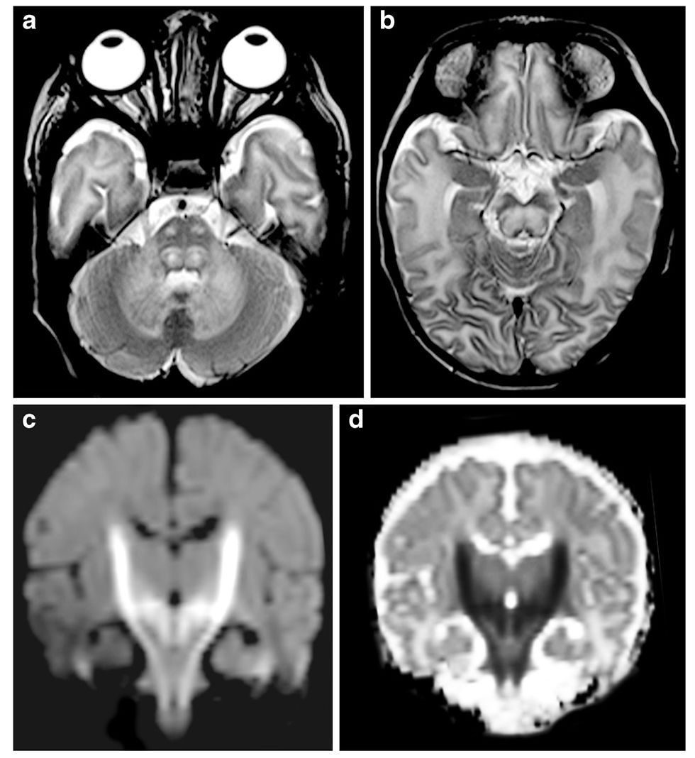
Maple Syrup Urine Disease in a 4-day-old girl.
One of the notable symptoms of MSUD is the unique sweet smell of urine. This odor is caused by the accumulation of certain organic acids, particularly alpha-keto acids derived from BCAAs, such as alpha-ketoisocaproic acid, alpha-keto-beta-methylvaleric acid, and alpha-ketoisovaleric acid. These alpha-keto acids have a sweet aroma similar to that of maple syrup or burnt sugar. Other possible symptoms could be having problems with feeding, vomiting, being irritable, having a high-pitched cry, having low energy, trouble growing and gaining weight and unusual muscle movements. In the absence of appropriate treatment, the most acute and traditional variant of MSUD can rapidly result in permanent neurological damage, which may present as brain injury, seizures, a state of coma, or central respiratory failure within only 7 to 10 days following birth. For individuals with this severe form of the condition, mortality typically occurs within a two-month timeframe if left untreated.
Types of MSUD
Maple syrup urine disease (MSUD) is categorized into four primary types: classic, intermediate, intermittent, and thiamine-responsive.
Classic MSUD is the most severe type. The symptoms typically manifest within the first week after birth. Within a few days, affected infants may exhibit poor feeding habits, vomiting, and increased irritability, which can progress to lethargy, weight loss, seizures, fluctuating muscle tone between rigidity and flaccidity, and cerebral edema.
Intermediate MSUD resembles the classic form but presents with a milder severity. Typically, individuals affected by this form can endure greater quantities of the amino acid leucine compared to those with the classic type. Nevertheless, during crisis situations, this tolerance diminishes, and the symptoms and associated risks become nearly indistinguishable from those observed in the classic form.
Intermittent MSUD is rare. The activity of the BCKAD enzyme is diminished but not completely lacking. The disease may not manifest until the first or second year of life. Symptoms tend to be episodic and are more likely to emerge during episodes of illness, fasting, or during periods of elevated protein intake. Similar to the intermediate type, during crises, the associated risks and symptoms resemble those of the classic form.
Thiamine-responsive maple syrup urine disease (MSUD) is characterized by the expectation that patients will experience a reduction in symptoms when administered substantial amounts of thiamine (vitamin B1). Research indicates the existence of this variant; however, the evidence remains inconclusive at this time.
Risk factors

Maple syrup urine disease (MSUD) is inherited in an autosomal recessive pattern, meaning that both parents must transport the mutated gene to have a child with MSUD. Carriers of the mutated gene are typically asymptomatic, but can pass on the gene to the next generation. Two carrier parents have a 25% chance of having a child with the disorder for each pregnancy. Male and females have the same risk to incur MSUD.
Management and Treatment
Maple syrup urine disease (MUSD) can be prevented by both parents doing the medical examination to diagnose if they are a carrier for MSUD. Besides, this illness can be effectively cured if promptly brought to a doctor upon noticing any symptoms.
Is there any cure for MSUD?
The primary way to treat Maple Syrup Urine Disease (MSUD) is by following a low-protein diet that limits the intake of three specific amino acids. Infants diagnosed with MSUD need to start on a special formula right away. They will have to stick to this unique diet for their entire lives. In some cases, additional nutritional supplements might be necessary. Adhering to this diet is crucial to avoid complications associated with MSUD.
Regular monitoring of amino acid levels in your child's blood will be conducted by the doctor. Collaborating with a healthcare team, which includes a dietitian who focuses on metabolic disorders like MSUD, can help maintain these levels within a safe range.
For certain children with severe cases of MSUD, doctors might suggest a liver transplant as a treatment option, which has successfully treated people with classic MSUD; however, you would still carry the gene which could potentially be passed on to your child.
Caution: Children with this disease are strictly prohibited from eating meat, milk, and foods that contain protein, except for special milk formulas for children with MSUD disease.

*Milk samples for Maple syrup urine disease patients
Metanutrition MSUD-1 is an amino acid based leucine, isoleucine and valine free powdered formula
Suitable for infants and children upto 3 years suffering from Maple Syrup Urine Disorder
Provides all other essential and non-essential amino acids, carbohydrates, fat, vitamins & minerals.
References
(N.d.). Researchgate.net. Retrieved July 23, 2024, from https://www.researchgate.net/figure/Striate-injury-and-wide-Sylvian-fissures-in-a-7-month-old-girl-with-a-new-diagnosis-of_fig2_281616841
Maple syrup urine disease. (n.d.). Cleveland Clinic. Retrieved August 10, 2024, from https://my.clevelandclinic.org/health/diseases/21168-maple-syrup-urine-disease
Professional, C. C. M. (n.d.). Maple syrup urine disease. Cleveland Clinic. https://my.clevelandclinic.org/health/diseases/21168-maple-syrup-urine-disease
Maple syrup urine disease type Ib | Myriad Foresight® Carrier Screen. (n.d.). Myriad Women’s Health. https://myriad.com/womens-health/diseases/maple-syrup-urine-disease-type-ib/
Redirect notice. (n.d.). https://www.google.com/url?sa=t&source=web&rct=j&opi=89978449&url=http://biology.ipst.ac.th/%3Fp%3D939&ved=2ahUKEwirmMrd5emHAxUHcGwGHWOlJu8QFnoECBYQAQ&usg=AOvVaw1BZNcnGumJJYjF-0L4SPb
No title. (n.d.-b). Google.com. Retrieved August 10, 2024, from https://www.google.com/url?sa=t&source=web&rct=j&opi=89978449&url=https://www.facebook.com/photo.php%3Ffbid%3D3167059460060738%26id%3D144406175659430%26set%3Da.452671361499575&ved=2ahUKEwirmMrd5emHAxUHcGwGHWOlJu8QFnoECCMQAQ&usg=AOvVaw2QApJZdIU7_iPXinSBSWVV
Fletcher, J. (2022, October 7). What to know about maple syrup urine disease. https://www.medicalnewstoday.com/articles/maple-syrup-urine-disease#symptoms

Comments